NVIDIA Clara AI 헬스케어 플랫폼

AI 헬스케어 솔루션을 구동하는 NVIDIA Clara 소프트웨어와 서비스 제품군의 채택 사례가 확대되고 있습니다. 업계 전반에 걸쳐 혁신을 실현하는 Clara 생태계에는 신약 개발을 위한 BioNeMo, 의료 기기를 위한 Holoscan, 유전체학을 위한 Parabricks, 의료 이미징을 위한 MONAI가 포함됩니다.

전 세계 의료 기업들은 NVIDIA와 협력해 의료 이미지에서 질병을 조기에 발견하고, 의료진에게 중요한 인사이트를 제공하며, 신약 개발 워크플로우를 혁신하는 AI 가속화 솔루션을 구축하고 있습니다.

최근 의료 연구자와 기업들은 NVIDIA Clara를 활용해 기술적 성과를 달성했는데요. 두 개의 새로운 단백질 도면을 생성하고, Holoscan으로 최초 수술을 진행하며 MONAI 기술을 활용한 솔루션을 영상의학과에 배포하는 등이 있습니다.

이미지

NVIDIA Clara™는 영상 및 기기부터 유전체학 및 신약 발견에 이르기까지
의료 및 생명 과학을 위한 AI 솔루션을 구동하는 컴퓨팅 플랫폼, 소프트웨어 및 서비스 제품을 지원합니다.

  • 이미지
    바이오파마

    NVIDIA Clara for Biopharma는 약물 발견 파이프라인을 가속화하기 위한 AI 및 가속 컴퓨팅 프레임워크, 애플리케이션, 생성 AI 플랫폼 및 서비스, 사전 학습된 모델로 구성된 컬렉션입니다.

  • 이미지
    디지털 헬스

    NVIDIA Clara Digital Health는 임상의와 환자 간의 상호작용을 향상하고, 문서 작성을 간소화하고, 실제 데이터에서 귀중한 통찰력을 추출하는 개인화된 의료 애플리케이션을 개발하기 위한 포괄적인 AI 툴킷입니다.

  • 이미지
    의료 기기

    의료 기기용 NVIDIA Clara는 실시간으로 엣지에서 스트리밍 데이터를 처리할 수 있는 확장 가능한 소프트웨어 정의 의료 기기를 구축하는 데 필요한 풀스택 인프라를 제공하는 도메인별 AI 컴퓨팅 플랫폼입니다.

  • 이미지
    의료 영상

    의료 영상용 NVIDIA Clara는 의료 영상 데이터를 활용하여 의료 AI 워크플로를 위한 딥 러닝 모델과 애플리케이션을 구축하는 도메인별 AI 플랫폼입니다.

  • 이미지
    유전체학

    유전체학용 NVIDIA Clara는 유전체학 분석을 위한 GPU 가속 소프트웨어 제품군으로, 전례 없는 속도와 비용 효율성 및 정확도를 제공합니다.

이미지

NVIDIA Clara AGX는 의료 및 생명과학 분야를
위한 AI 엣지 컴퓨팅 플랫폼입니다.

NVIDIA Clara AGX™는 NVIDIA Clara 플랫폼의 핵심으로, AI를 차세대 의료 기기에 도입하여 질병의 진단, 감지, 치료 작업을 향상합니다. 이 혁신적인 컴퓨팅 아키텍처는 의료 기기의 4가지 중요 처리 단계인 센서 처리, 재구성, 이미지 처리, 시각화를 위한 올인원 솔루션입니다. 처음으로 의료 기기에서 엔트리급 도구에서 가장 까다로운 3D 장치로 확장할 수 있도록 AI 컴퓨팅 및 그래픽을 발전시켰습니다.

NVIDIA Clara AGX™특히 의료 영상, 스마트 센서, 수술 로봇, 병원 내 자동화와 같은 실시간 응용 분야에서 강력한 성능과 안정성을 제공합니다.

  • 실시간

    센서와 GPU 간 고대역폭 저지연 연결을 통해 고속 데이터 전송 및 실시간 분석 처리를 가능하게 합니다. 이로써 진단 영상 및 생체 신호와 같은 의료 데이터를 즉각적으로 활용할 수 있습니다.

  • 가속화된 재건

    딥러닝 기반의 고급 알고리즘과 강력한 AI 연산 성능을 통해 영상 복원, 노이즈 제거, 데이터 재처리를 빠르고 정확하게 수행할 수 있습니다. 연구 효율을 높이고 진단 정확도를 향상시키는 데 기여합니다.

  • 확장 가능하고 업그레이드 가능한 AI

    컨테이너 기반의 모듈형 구조를 통해 런타임 환경 구성과 AI 모델의 배포가 유연하며, 지속적인 업그레이드와 기능 확장이 가능하여 다양한 의료 응용 분야에 쉽게 적용됩니다.

  • NVIDIA Clara 플랫폼 통합 지원

    Clara Holoscan SDK 및 Clara Guardian과의 통합으로 엣지 장비에서의 데이터 수집, 처리, 시각화까지 의료 AI 워크플로우 전반을 안정적으로 구축할 수 있는 토탈 플랫폼을 제공합니다.

  • BioNeMo 프레임워크를 통한 AI 모델 확장

    BioNeMo 프레임워크는 바이오파마용 딥 러닝 모델을 구축하고 훈련하기 위한 오픈 소스 머신 러닝 프레임워크입니다.

    DNA, RNA 및 단백질 데이터를 사용하여 생체 분자 연구를 수행하는 AI 모델 빌더는 AI 모델 개발의 가장 비용이 많이 들고 시간이 많이 걸리는 측면을 가속화함으로써 도구에 액세스하여 연구를 새로운 차원으로 확장할 수 있습니다. 이 플랫폼에는 엄선된 훈련 레시피, 데이터 로더, 최상의 성능을 위해 도메인에 특화되고 가속화된 사전 훈련 및 최적화된 예제 AI 모델 아키텍처가 포함되어 있어 AI 모델을 더 빠르고 간단하게 구축할 수 있습니다.

    이미지
  • 유전체 분석의 전 과정 가속화

    NVIDIA Parabricks는 빠르게 발전하는 유전체학 분야에 획기적인 속도, 정확도 및 처리량을 제공하는 확장 가능한 유전체학 분석 소프트웨어 제품군입니다. 유전체학 시장에는 신약 개발, 정밀 의학, 집단 건강 연구 및 임상 진단 전반에 걸쳐 광범위한 애플리케이션을 포괄하는 여러 가지 방법이 존재합니다. 연구 기관, 헬스케어 시설, 시퀀싱 진단 센터, 국가 프로그램, 제약 및 테크 바이오 등 다양한 환경이 유전체학 발견에서 필수적인 역할을 수행합니다. 더 빠른 분석은 더 빠른 진단, 맞춤형 치료, 간소화된 신약 개발로 이어져 시간과 리소스를 절약하는 동시에 환자 치료를 개선하고 실시간 데이터 기반 의사 결정을 가능하게 합니다.

    이미지
  • 의료 기기용 NVIDIA Holoscan

    Holoscan은 의료기기 개발자에게 실시간 엣지 AI 기능을 제공합니다. 이를 통해 의료기기 업계 기업들은 새로운 AI 기반 기능을 탐색하고, 출시 기간을 단축하며, 의료용 기기의 개발 및 유지 보수 비용을 절감할 수 있습니다.

    NVIDIA Holoscan 참조 애플리케이션과 운영자는 실시간 AI 기반 센서 처리 애플리케이션을 구축하기 위한 즉시 사용 가능한 사용자 정의 예제와 구성 요소를 제공합니다. 또한 개발 속도를 높이고자 하는 의료 기기 및 AI 개발자는 Holoscan Reference Applications를 사용하여 의료 영상, 센서 처리, 엣지 컴퓨팅 전반에 걸쳐 솔루션을 신속하게 구축하고 배포할 수 있습니다. 이 모든 것은 NVIDIA와 파트너 생태계의 다양한 기여를 활용하여 다양한 워크플로 및 운영자 컬렉션을 오픈 리포지토리에 제공하여 개발 시간과 복잡성을 크게 줄입니다.

    이미지
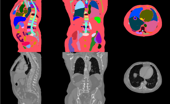
  • 헬스케어용 오픈소스 프레임워크, NVIDIA MONAI

    오픈소스 MONAI 프레임워크를 기반으로 구축된 엔터프라이즈급 솔루션으로, 의료 영상 분야의 AI 개발을 위한 고급 도구와 지원을 제공합니다. NVIDIA MONAI 툴킷은 포괄적인 샌드박스 환경을 제공하여 의료 애플리케이션용 AI 모델의 개발, 학습 및 배포를 가속화합니다.

    MONAI는 엔터프라이즈 환경에서 MONAI를 활용하고자 하는 조직을 위한 NVIDIA의 상용 솔루션입니다. 오픈소스 MONAI 프레임워크를 기반으로 구축되어 상용 애플리케이션에 최적화된 추가 기능과 지원을 제공합니다. 이 엔터프라이즈급 솔루션은 MONAI의 역량을 강화하여 의료 영상 분야에 AI를 대규모로 구현하고자 하는 조직에 포괄적인 솔루션을 제공합니다. 오픈소스 프레임워크의 강력한 성능과 상용 애플리케이션에 필요한 안정성 및 지원 기능을 결합하여, 임상 워크플로에 AI를 활용하려는 의료 기관 및 연구 시설에 이상적인 선택입니다.

    이미지

Clara 에코시스템

다양한 지능형 영상 분석 및 음성 인식 기능을 포함하는 스마트 센서 솔루션을 제공합니다.

이미지
맨위로가기